牙齒錯位有什么危害
發表于:2017-05-26 18:22:14 來源:順德德倫口腔 編輯:德倫口腔 閱讀:0次
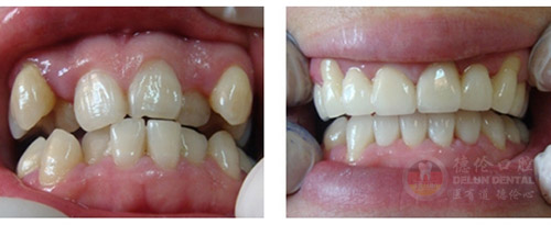
牙齒錯位,會給我們的生活平添許多煩惱。很多患者因為錯位的牙齒遭到過嘲笑,從此有了自卑的心理。人都有一顆追求美的心。牙齒錯位是可以通過矯正來解決。牙齒錯位也是必須矯正的。因為它不只是影響我們的容貌,還給我們的健康帶來放心隱患。牙齒錯位有什么危害?
德倫專家指出:
1. 牙齒錯位會使咀嚼過于費勁,長時間的話還會導致牙疼。降低了牙齒的咀嚼功能,間接增加了消化系統的負擔。
2. 牙齒錯位會出現重疊或者擁擠的現象。形成了清潔盲區,不利保持口腔健康。容易出現蛀牙。
3. 牙齒錯位不單是影響牙齒,牙頜骨的生長發育出現畸形,也會影響到臉型的發育。
溫馨提示:牙齒矯正越早進行,效果越好。但這不意味著牙齒矯正有年齡限制。只有您有一顆愛美的心,都是可以通過牙齒矯正獲得美麗牙齒的。
如果您是一位上班族想要矯正牙齒,那么德倫隱形正畸技術一定可以幫到您。美觀舒適,不會影響您的形象。摘帶方便,不影響您的日常生活交際。可以在不知不覺的情況下完成矯正。
德倫口腔一直堅持"醫有道,德倫心"的品牌理念,不僅以行醫者之大道為己任,憑借國際高端設備、引進知名醫生坐診,高質量的服務理念,使牙科治療服務真正進入個性化、定制化和迅速反應的新紀元。
溫馨提示PROMPT
德倫口腔打造中國口腔領導品牌,溫馨提醒您口腔問題不容忽視。點擊在線咨詢即可獲得一對一的咨詢服務,德倫口腔牙科專家將對您提出的問題作出專業回答并保護您的隱私!
選擇德倫的八大理由